이 포스팅은 쿠팡 파트너스 활동의 일환으로, 이에 따른 일정액의 수수료를 제공받습니다.
치아교정 82일 차, 드디어 달라진 치아 배열! 일상 속 불편함부터 적응기, 브래킷 관리 노하우까지 솔직 후기 남깁니다.

안녕하세요! 오늘은 치아교정을 시작한 지 D+82일, 약 3개월 차가 된 후기를 남겨보려고 해요. 처음엔 통증 때문에 힘들기도 했지만, 이제는 조금씩 변화도 보이고, 교정기와도 꽤 친해진 시기예요. 비슷한 시기에 교정 시작하신 분들께 도움이 되었으면 해서 경험 + 꿀팁도 함께 정리해봤어요!

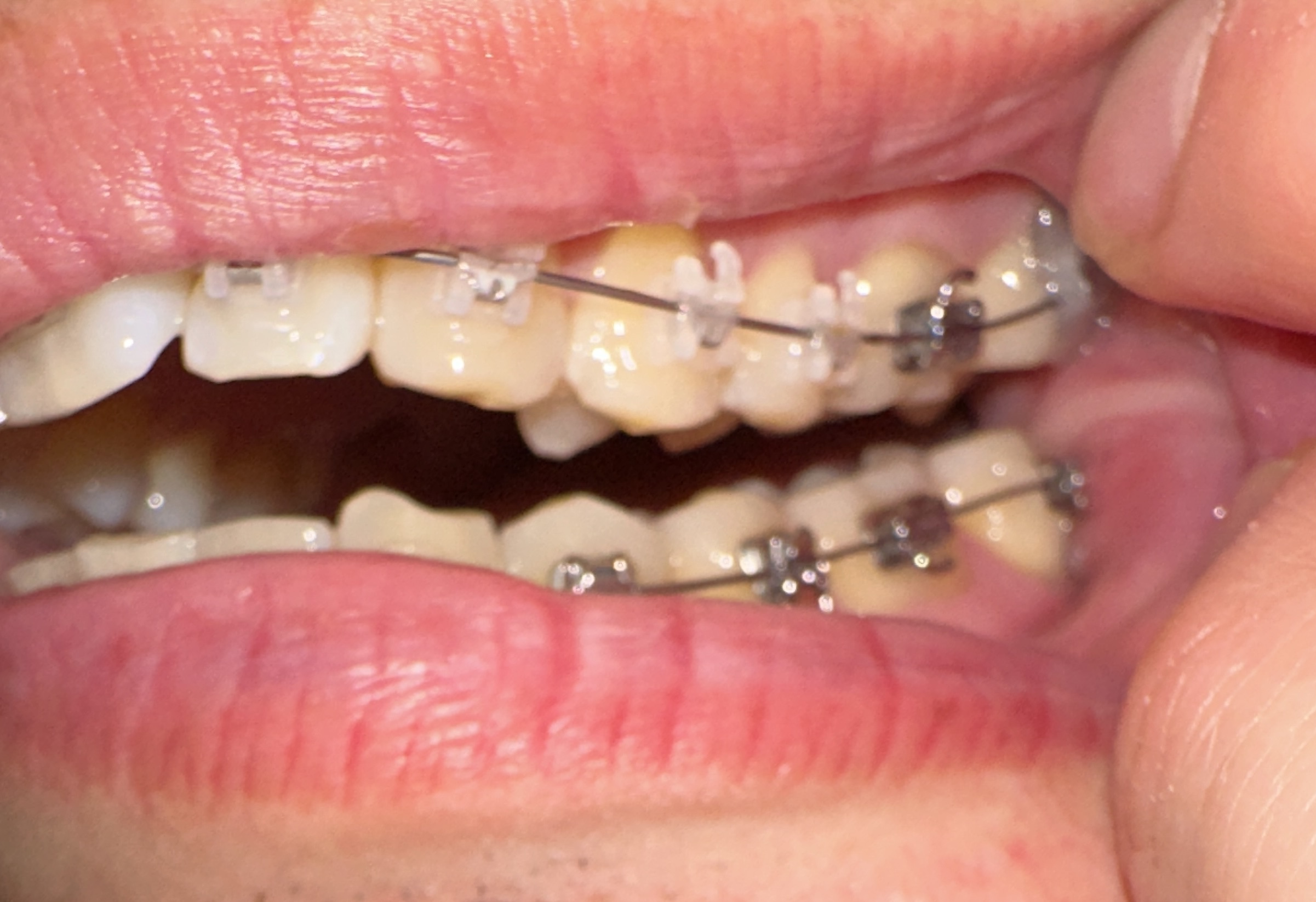
전체적인 배열이 어느 정도 변화가 있고 좀 바르게 펴진 느낌
제가 2번째 진료를 받았던 날이 5월 14일이었는데요 그전까지는 각종 이벤트가 많았었는데. 위, 아래쪽 사랑니를 뺏고 특히, 매복사랑니라 빼는 시간도 어려웠고 유독 저의 매복사랑니는 단순 어려운 게 아닌 완전 극도로 어려운 헬 난이도의 매복사랑니였다고 했었습니다. 그리고 충치로 인한 인레이도 한 일이 있었는데요. 그로 인해 입안은 염증과 상처로 인해 거의 3주 동안은 제대로 먹지도 못하고 양치질도 힘들 정도로 엄청 험난한 일들을 보냈습니다.


끝부분들이 어금니 쪽이고 교정장치를 다 부착한 상태
이런 일들을 버틴 결과적으로는 이제는 좀 괜찮아졌다? 싶을 생각을 들 찰나에. 2번째 진료일 때 제가 어느 정도 아물고 괜찮아진 어금니 쪽에 교정을 부착을 했는데요. 그 당일에는 철사의 그 찔림이 안 느껴졌었는데. 진료 후 다음날에 찔림이 유독 아프더라고요 입안이 다시 헐 정도로..
인터넷에 검색해 보니까 교정초기에 치료가 진행됨에 따라 치아가 이동하면서 점점 철사가 가지런해지고 잘 맞게 된다. 다만 통증이 심하거나 철사가 살을 찌르거나, 매우 불편한 경우는 교정치과에 연락해서 조정받는 것이 좋다고 하더라고요!!..

저는 치과가 경기도 시흥에서 교정을 하고 있는 상태여서, 너무 멀어서 가까운 병원에서 조정정도는 받을 수 있다 하여서 갔다 왔는데 일단 치과에서는 철사들이 다 최대한 굽어져 있는 상태였고 그래서 레진으로 임시방편으로 붙여주겠다 하여서 철사 끝부분을 레진으로 임시방편으로 하여 안 아프게 만들었습니다. 비용은 2만 원 정도 나왔습니다. 원래대로라면 본인이 하고 있는 치과에서 했으면 비용이 안 나온다? 고 하던데. 이 부분은 잘 모르겠네요
임시방편으로 해도 밥 먹을 때 유독 철사가 그래도 찔리는 부분이 있었습니다. 그래서 제가 내린 결정은 코팅을 하여 안 아프게 하는 것이었습니다. 확실히 코팅을 한 거 자체는 좋았는데 밥 먹을 때도 빼야 되고 양치할 때도 빼야 되는 단점이 있었고, 뺐다 꼈다 하는 반복이 많아지면 교정코팅은 많이 들기도 하는 단점 또한 있는 거 같습니다.
하지만, 시간이 조금씩 지나고 나면 치아가 이동해서 그런가 안 찔리는 느낌이 들었습니다 현재는 D+82일 차입니다. 그리고 저는 교정하면서 워터픽을 처음으로 사용해 봤는 데 사용하는 이유를 알겠더라고요! 엄청 시원하고 이물질이 나오는 모습을 보면 후련합니다 자기 전에 양치하고 매일 사용하고 있고 너무 잘 쓰고 있어요.
치아교정 중간 꿀팁
입안 상처 관리
• 철사나 브래킷에 입 안이 긁힐 수 있음.
• 교정용 왁스로 자극되는 부위 커버.
• 입안에 상처 났을 땐 연고(오라메디 등) 바르기.
브라켓 관리 꿀팁
• 식사 전 미리 양치도 효과 있음 – 끼는 양 줄어들어요
• 왁스는 항상 챙겨 다니기 – 예상치 못한 상황 대비
• 정기 내원 절대 미루지 않기 – 조정 안 하면 교정 기간 늘어날 수도
• 자기 전 워터픽은 무조건! – 치아 사이 음식물 싹 제거
오아 클린이 워터 B 구강세정기


제가 쓰고 있는 워터픽입니다 회색통에다 물을 담아서 사용하시면 돼요 압력 조절 5단계 약한 압력부터 시작해서 강한 압력까지 있습니다. 엄청 편하고 간편합니다. 안 나오는 이물질이 없어요. 관심 있으신 분들은 봐주세요!!
오아 클린이워터B 구강세정기 - 구강세정기 | 쿠팡
현재 별점 4.7점, 리뷰 12783개를 가진 오아 클린이워터B 구강세정기! 지금 쿠팡에서 더 저렴하고 다양한 구강세정기 제품들을 확인해보세요.
www.coupang.com
마무리
교정 3개월 차, 아직 갈 길은 멀지만 분명히 변화가 시작됐다는 게 너무 기쁩니다. 가끔은 불편하고 귀찮지만, 예쁜 치아를 위해 한 걸음씩 나아가는 중이라고 생각하고 있습니다. 혹시 지금 교정 중이거나 고민 중이라면, 충분히 할 만하다!라고 라고 말씀드리고 싶어요.
'information' 카테고리의 다른 글
| 2025년 2학기! 국가장학금 지원금 인상 소식과 꿀팁 (1) | 2025.05.27 |
|---|---|
| 구강 위생을 바꾸는 루틴, 올바른 양치 순서 알려드립니다 (0) | 2025.05.27 |
| 여행 중 사고·질병 대비? 여행 보험으로 안전하게! (7) | 2025.05.24 |
| 버블로 끝내는 양치! 에스노워터치약 직접 써봤습니다 (0) | 2025.05.20 |
| 신혼부부 디딤돌·버팀목대출 소득요건 완화! 2025년 주택대출 조건 총정리 (4) | 2025.05.19 |